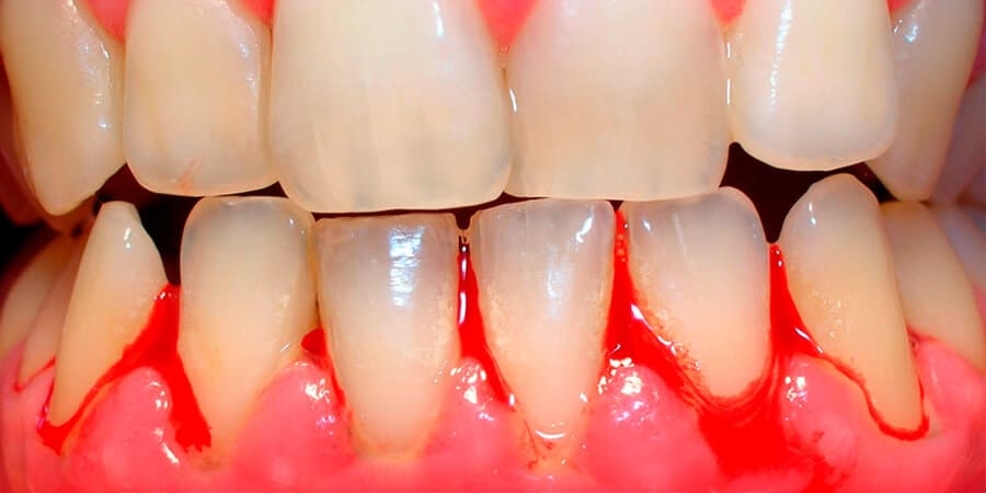
La «gingivitis» es una enfermedad bucal bacteriana que provoca inflamación y sangrado de las encías, causada por los restos alimenticios que quedan atrapados entre los dientes. Es muy frecuente que su origen sea causado por el crecimiento de las muelas del juicio, que produce una concavidad, que es donde se deposita el agente patógeno o bacteria. El sangrado en las encías, no es algo normal, ya existe un agente que esta provocando, los enjuagues que contiene altos grados de alcohol no mejoran esta patología, es importante que inicies un Tratamiento con un Periodoncista, que es el especialista en Encías y Enfermedades de tejidos Blandos en la Boca, solo el te podrá dar la correcta indicación, para terminar con este problema.
Comentarios están desactivados

